
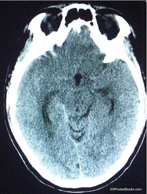
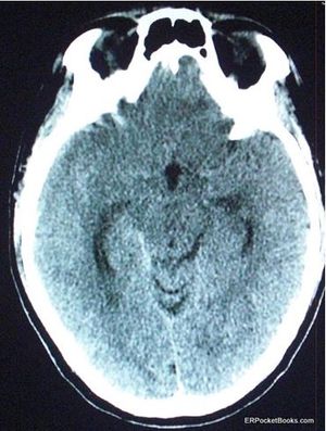
A sudden severe headache with emesis brings a 35-year-old man to the ED. Research on his smart phone has satisfied him that this is a post-coital event and therefore, harmless. He refuses a lumbar puncture.

Published: September 23rd 2014 | Updated:

Published: September 24th 2014 | Updated: