News
Media
All VideosMedical World NewsPodcastsWeekly RecapCure ConnectionsInsightsSpecial ReportNeurologyLive Peer ExchangeClinical Forum InsightsMedcastPeers & PerspectivesRoundtable DiscussionsShows & Podcasts
Conferences
Conference CoverageConference Listing
CME/CE
More
Partners
Publications
NeurologyLiveBridging the GapsInternational Journal of MS Care
Resources
Expert AuthorsFDA NewsFeaturesFellows' CornerFuture Leaders in NeurologyGiants of Multiple SclerosisInteractive ToolsJob BoardLive EventsNeurology ResourcesSponsoredVirtual Events

Subscribe

  • News
  • Media
  • Conferences
  • CME/CE
  • Partners
  • Publications
  • Resources
  • Subscribe
  • Dementia and Alzheimer Disease
  • Epilepsy
  • Genetic Disorders
  • Headache and Migraine
    • Migraine
  • MS and Demyelinating Disorders
    • NMOSD
    • Multiple Sclerosis
  • Movement Disorders
    • Parkinson Disease
    • Dyskinesia
  • Neuromuscular
    • Chronic Inflammatory Demyelinating Polyneuropathy
    • Muscular Dystrophy
    • Ataxia
  • Rare Diseases
  • Sleep Disorders
    • Narcolepsy
    • Excessive Daytime Sleepiness
    • Insomnia
  • Stroke
Spotlight -
Expert Authors|
FDA News|
Upcoming Live Events|
ACTRIMS 2026|
ISC 2026
Advertisement

Elizabeth A. Mills, PhD

Advertisement

Articles by Elizabeth A. Mills, PhD

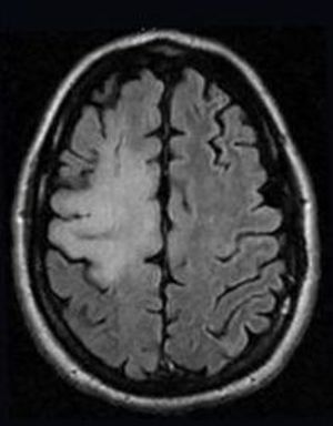
A Case of PML-IRIS: Diagnostic and Treatment Considerations

ByElizabeth A. Mills, PhD,Yang Mao-Draayer, MD, PhD
January 11th 2018

On the challenges of treating progressive multifocal leukoencephalopathy in MS patients.

Advertisement

Latest Updated Articles

  • A Case of PML-IRIS: Diagnostic and Treatment Considerations
    A Case of PML-IRIS: Diagnostic and Treatment Considerations

    Published: January 11th 2018 | Updated:



Advertisement
Advertisement

Trending on NeurologyLive - Clinical Neurology News and Neurology Expert Insights

1

Cladribine Tablets Show Ability to Improve or Stabilize Cognitive Function in Patients With Relapsing Multiple Sclerosis

2

Myelin Protective Small Molecule Lucid-MS Shows Promising Early-Stage Data in Healthy Volunteers

3

Using Human iPSC Models to Dissect PIRA Mechanisms in Progressive Multiple Sclerosis: Valentina Fossati, PhD

4

Phase 3b RESHAPE Study Evaluates Risk–Benefit of Switching From Ocrelizumab to BTK Inhibitor Remibrutinib

5

CD40L Inhibitor Frexalimab Enters Phase 3 FREXITE Trial of Non-Relapsing Secondary Progressive Multiple Sclerosis

  • About Us
  • Advisory Board
  • Editorial
  • Contact Us
  • Advertise
  • Contact MJH LS
  • Do Not Sell My Information
  • Terms and Conditions
  • Privacy
Contact Info

259 Prospect Plains Rd, Bldg H
Cranbury, NJ 08512

609-716-7777

  • Contagion Live
  • CGT Live
  • Neurology Live
  • HCP Live
  • Oncology Live
  • Contemporary Pediatrics
  • Contemporary OBGYN
  • Urology Times
  • The Educated Patient
HCP Live
Brand Logo

© 2025 MJH Life Sciences®

All rights reserved.

Home
About Us
News
Contact Us