
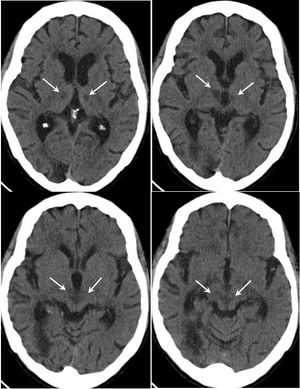
Here, view results of CT of the head and axial FLAIR and axial diffusion-weighted MRI studies. What is in your differential? What is your diagnosis?

Here, view results of CT of the head and axial FLAIR and axial diffusion-weighted MRI studies. What is in your differential? What is your diagnosis?

Published: July 10th 2014 | Updated: