
A new class of injectable monoclonal antibodies directed against calcitonin gene related peptide (CGRP) or its receptor may offer hope to migraineurs who have not found effective prophylactic therapy.

A new class of injectable monoclonal antibodies directed against calcitonin gene related peptide (CGRP) or its receptor may offer hope to migraineurs who have not found effective prophylactic therapy.

Newly approved medications for various types of pain, generalized myasthenia gravis, and Parkinson disease will be fodder for discussion at AAN 2018. Here’s a brief overview of the therapies the FDA has approved within the past 6 months.

The FDA has recently approved a number of drugs for a variety of neurologic disorders, including Parkinson's disease and MS. Here are 8 of the newest.

A new study bolsters evidence that bilingualism contributes to cognitive reserve, postpones symptoms of dementia, and delays diagnosis of Alzheimer disease.

Out of the blizzard of recently published clinical studies on multiple sclerosis, we've randomly selected 2 with useful information you might not want to -- but easily could -- miss. Here: brief synopses and links.

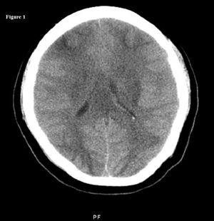
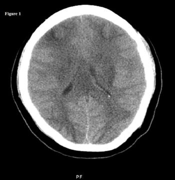
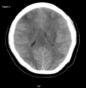
An unusual cause of postpartum neurologic deficits: MRIs of progressing relapsing-remitting MS; Lhermitte-Duclos disease as a cause of ataxia: here. . . 5 short clinical cases, each with images, that offer take-home messages you can use in your practice.

Published: August 12th 2014 | Updated:

Published: July 24th 2014 | Updated:

Published: December 2nd 2014 | Updated:

Published: April 20th 2018 | Updated:

Published: February 13th 2015 | Updated:

Published: April 18th 2018 | Updated: