
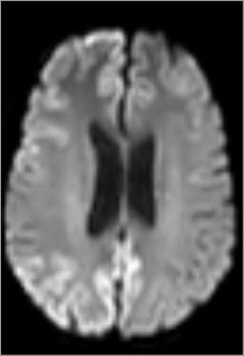
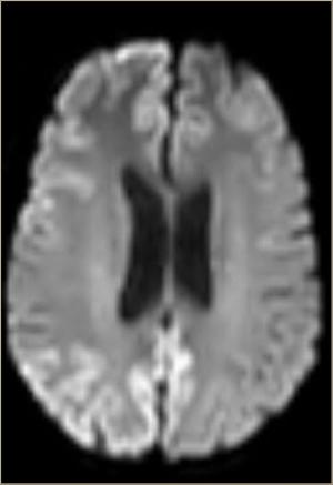
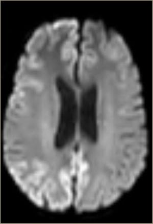
What’s in your differential diagnosis for this cachectic, disheveled patient who can no longer carry on a coherent conversation?

What’s in your differential diagnosis for this cachectic, disheveled patient who can no longer carry on a coherent conversation?

What’s new in MS: teratogenicity of disease-modifying drugs, extended interval natalizumab dosing, a potential biomarker, the “MS hug,” and virtual reality therapy.

A combination of biomarkers that might assist physicians in differentiating syncope from seizure; LiTT for intractable mesial temporal lobe epilepsy-these and other insights.

A young man sustained a serious head injury in a car accident, but routine brain CT and MRI scans are normal. Your next step?

The patient has a history of migraine. Is this another attack-or is something else going on?

It is not clear why neurologists have attained the dubious honor of being tied for first place for burnout, but excessive clerical work, long hours, nights on call, and the pressure to see high numbers of complex patients probably contribute.

Who knew those animated little fish might do so much more for our patients with neurodevelopmental disorders than provide a calm diversion in the waiting room?

In young patients with stroke without a clear cause, physicians should search for less common etiologies and treat accordingly.

Symptoms of sudden onset of headache and decreased balance three days earlier prompted a visit to the emergency department.

A 39-year-old male with a past medical history of hypertension and depression woke up with a severe headache, difficulty speaking, and right-sided weakness. Read the case details here.

By the time a 45-year-old patient with hypertension, slurred speech, and weakness in the right arm and right leg was examined in the emergency department, his symptoms had completely disappeared. However, examination, labs, and imaging showed the case was anything but "resolved."


5 important facts from a recent double-blind, randomized phase 3 study about siponimod in SPMS.

The importance of effective communication and cultural awareness in patient care and outcomes cannot be overstated.

Dr. Abhinav Raina presents his research on the effect of subthalamic nucleus deep brain stimulation on impulsivity in Parkinson disease patients.

An expert presents the results of a phase 2 study on the impact of rituximab on myasthenia gravis.

Glioblastoma multiforme is the most common and most malignant of all brain tumors. Are things getter better?

An expert describes the efficacy of fenfluramine in decreasing seizure frequency associated with this rare syndrome.

A unique case of chronic, low level carbon monoxide poisoning in a car mechanic that resulted in Parkinsonian symptoms.

Here: the most notable changes in the new AAN guideline on mild cognitive impairment.

5 key facts about the association between cerebral microbleeds and risk of future intracerebral hemorrhage in patients with afib who take oral anticoagulants after ischemic stroke.

Dr. Wilner discusses 5 key points from a recent study on thrombectomy 6 to 16 hours after stroke.

In this 6-minute video presentation, Dr. Andrew Wilner describes the epidemiology and pathophysiology of carbon monoxide poisoning and reviews the implications of a recently published observational study.

Although rare, new onset refractory status epilepticus can be life threatening if not identified quickly.

Intravenous alteplase (tPA) is the standard of care for acute ischemic stroke, if it can be given within 3-4.5 hours after stroke onset. Dr. Wilner reviews some important facts about intracranial hemorrhage after the use of intravenous alterpase.

Marijuana has been employed since ancient times for the treatment of epilepsy. However, rigorous scientific data supporting its efficacy has been essentially nonexistent until recently.

A new study makes the case for alternatives to opioids in the treatment of migraine.

Causes of concussion include direct trauma, rapid acceleration-deceleration, and blast injury. Dr. Wilner discusses recent literature.

Creutzfeldt-Jacob disease should be considered in the setting of a rapidly progressive dementia with psychiatric symptoms, ataxia, mutism, myoclonus, and pyramidal or extrapyramidal signs.

An expert discusses the latest guidelines to reduce brain injury in adults who are comatose after cardiac resuscitation.

Published: July 26th 2017 | Updated:

Published: August 28th 2017 | Updated:

Published: September 11th 2017 | Updated:

Published: October 12th 2017 | Updated:

Published: October 19th 2017 | Updated:

Published: November 1st 2017 | Updated: