
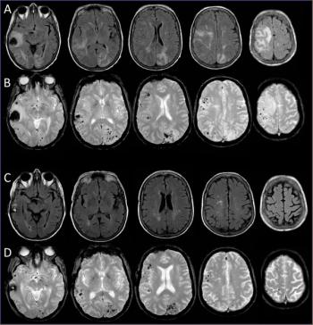
A 71-year-old woman presented to the emergency department with subacute headaches and altered behavior that was initially attributed to emotional distress. What did the tests show?

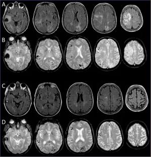
A 71-year-old woman presented to the emergency department with subacute headaches and altered behavior that was initially attributed to emotional distress. What did the tests show?

Published: December 11th 2017 | Updated: