
The associate professor of neurology at Vanderbilt University Medical Center discussed exploring promising opportunities in other phases outside of the acute phase of ischemic stroke. [WATCH TIME: 3 minutes]

The associate professor of neurology at Vanderbilt University Medical Center discussed exploring promising opportunities in other phases outside of the acute phase of ischemic stroke. [WATCH TIME: 3 minutes]

The associate professor of neurology at Vanderbilt University Medical Center discussed the progress in stroke care, focusing on ischemic strokes and cerebral hemorrhages, and their connection with vascular diseases and cognitive disorders. [WATCH TIME: 3 minutes]

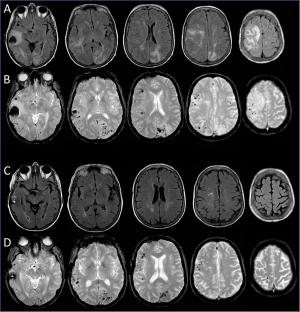
A 71-year-old woman presented to the emergency department with subacute headaches and altered behavior that was initially attributed to emotional distress. What did the tests show?

Published: December 11th 2017 | Updated: