
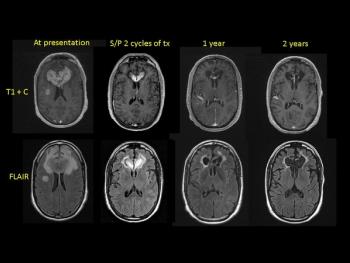
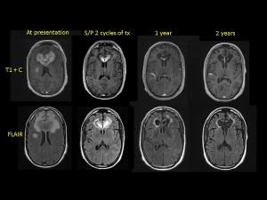
Primary central nervous system lymphoma (PCNSL) is a rare but aggressive malignancy that accounts for approximately 3% of all primary CNS cancer. New studies have changed the landscape of PCNSL treatment paradigms and expectations for outcome.

Primary central nervous system lymphoma (PCNSL) is a rare but aggressive malignancy that accounts for approximately 3% of all primary CNS cancer. New studies have changed the landscape of PCNSL treatment paradigms and expectations for outcome.

Published: October 13th 2017 | Updated: