
Here's a handy synopsis of a “hands-on” review of the current state of monitoring disease and treatment decision making in patients with multiple sclerosis.

Here's a handy synopsis of a “hands-on” review of the current state of monitoring disease and treatment decision making in patients with multiple sclerosis.

Can the EEG predict neurological outcomes in post-anoxic encephalopathy from out-of-hospital cardiac arrest? What effect does TIA have on stroke risk in women migraineurs? What's the relationship between MS and vitamin D levels in minority populations?

Quick, how many of the following-eslicarbazepine, ezogabine, parampanel-do you recognize? These new entries into the medical armamentarium were highlighted at the AAN 2015 Annual Meeting.

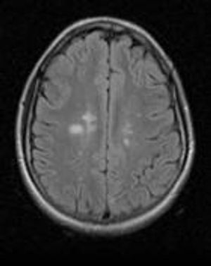
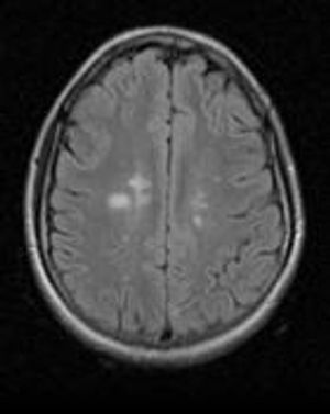
Do you have a patient with "radiologically isolated syndrome" -- and, if so, what do you tell your patient?

Published: April 21st 2015 | Updated:

Published: March 19th 2015 | Updated:

Published: April 27th 2015 | Updated:

Published: April 22nd 2015 | Updated: