
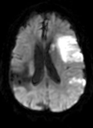
Take a look at these 3 images and see if you can pinpoint the cause of altered consciousness in this woman.

Take a look at these 3 images and see if you can pinpoint the cause of altered consciousness in this woman.

Published: August 8th 2014 | Updated: