
Stroke
Latest News
CME Content


Because of the increased incidence of stroke that is sometimes observed with HRT, neurologists are often asked to consult with prescribing physicians to assess stroke risk.

The FDA has approved the EmboTrap II Revascularization Device for thrombectomy within 8 hours of the appearance of symptoms for patients with ischemic stroke.

5 key facts about cerebral microbleeds and risk of future cognitive impairment.

While migraine is distinct from stroke in its gradual onset and lack of focal motor weakness, it is also a predisposing factor for childhood stroke. That can raise the question, “Is it another migraine or is it actually stroke this time?”

The importance of effective communication and cultural awareness in patient care and outcomes cannot be overstated.

Ondine’s curse has long been recognized as a congenital disorder and can also develop later in life as a result of damage to the lower lateral medulla. There are only a few cases-about 200 to 500 worldwide-each year.

Neurologists may be the first or only clinicians to recognize the 5 potentially dangerous neuro-ophthalmologic conditions described in this article.

The use of controlled temperature regulation may hold potential as a complementary method of treating stroke.

Vagus nerve stimulation in conjunction with conventional rehabilitation services more than doubled lasting recovery in forelimb supination and simple motor tasks following a stroke.

Women who have migraines with aura are at increased risk of stroke. Now, a new systematic review suggests that use of combined hormonal contraceptives by these patients raises their stroke risk over and above the already increased risk.

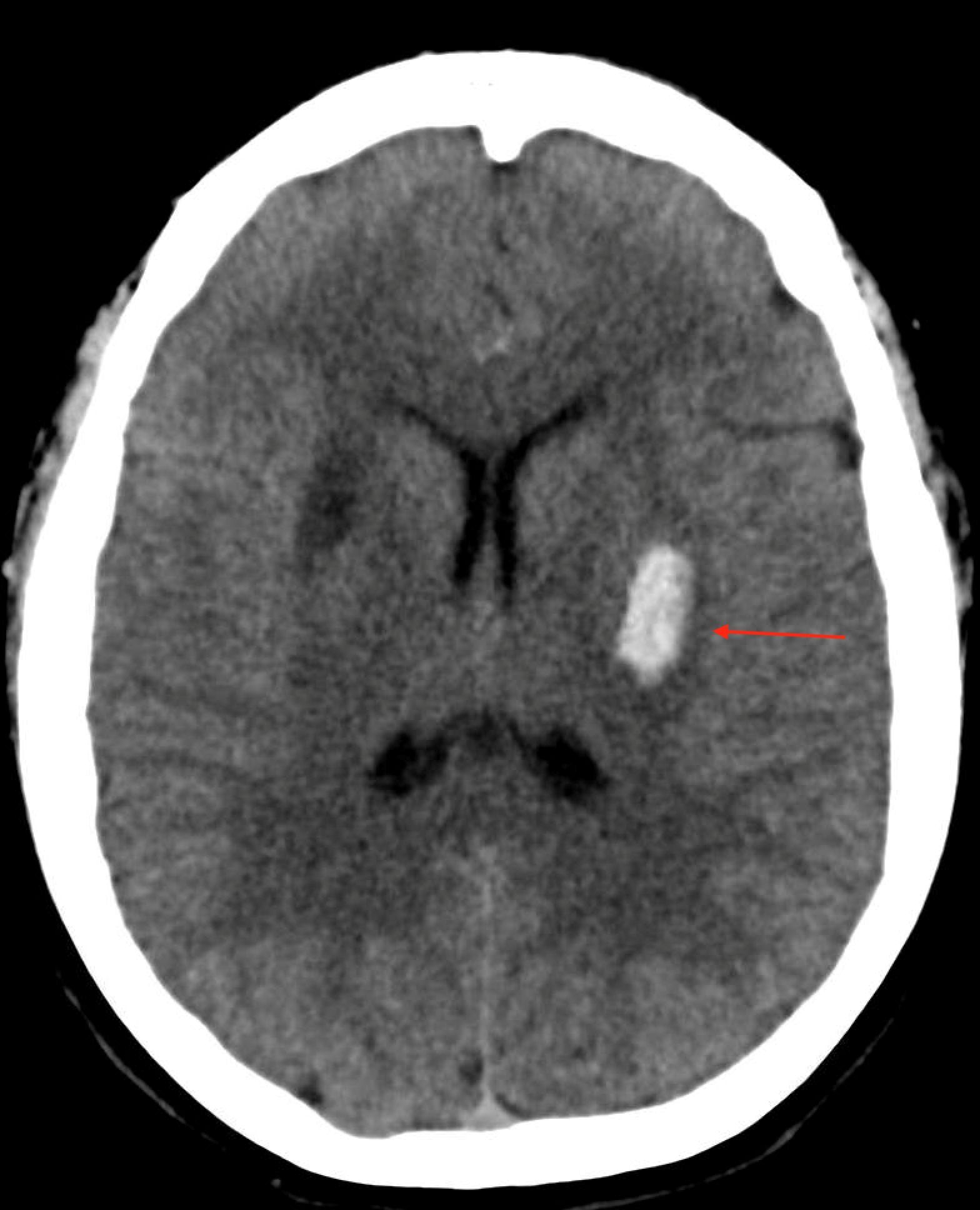
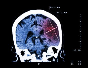
5 key facts about the association between cerebral microbleeds and risk of future intracerebral hemorrhage in patients with afib who take oral anticoagulants after ischemic stroke.

A large retrospective cohort study of over 12,000 patients from 40 hospitals looked at the risk of death following stroke or TIA, and whether patients had been prescribed antihypertensive medications.

As stroke rehabilitation moves toward multimodal approaches, music therapy has shown early promise in enhancing physical and cognitive recovery in some patients.

Dr. Wilner discusses 5 key points from a recent study on thrombectomy 6 to 16 hours after stroke.

The FDA has expanded the approval for the Trevo clot retrieval device to allow for thrombectomy up to 24 hours after the development of symptoms in patients with acute ischemic stroke.

Intravenous alteplase (tPA) is the standard of care for acute ischemic stroke, if it can be given within 3-4.5 hours after stroke onset. Dr. Wilner reviews some important facts about intracranial hemorrhage after the use of intravenous alterpase.

The FDA has approved the Riptide Aspiration System for thrombus retrieval via the Arc Catheter for revascularization in patients with acute ischemic stroke secondary to intracranial large vessel occlusive disease.

Researchers conducted a retrospective analysis of patients with acute stroke and evaluated the effect of infection during the hospitalization period.

Differential diagnosis and treatment of mitochondrial encephalomyopathy lactic acidosis and stroke-like syndrome.

Clinical implications of three new studies on treatments that may increase risk of-or mitigate harm from-stroke in older patients.

A study found that patients with AF who initiate therapy with standard dose dabigatran are at low risk of stroke and bleeding. Insights here.

Despite optimism, telemedicine has been only slowly adopted as a means of health care delivery. But things are changing. Have you considered adopting telemedicine in your clinic practice?

A new study with longitudinal follow-up looked at disability trajectories after stroke compared with myocardial infarction.

Researchers evaluated gender differences in hospitalization for stroke among patients with atrial fibrillation. Key results and take-home points here.



































