
Hospitals participating in the Get With The Guidelines-Stroke program provided patients with more evidence-based interventions but highlighted a gap in intervening practices.

Hospitals participating in the Get With The Guidelines-Stroke program provided patients with more evidence-based interventions but highlighted a gap in intervening practices.

The senior lecturer in Clinical Pharmacy at Aston University talked about issues facing the medical community in treating those with dementia who have sleep problems.

The results conclude that treatment with crenezumab was associated with a consistent decrease in Aβ oligomer levels in the CSF.

The professor of age-related diseases and Dean of the University of Exeter Medical School provided insight into the safety and efficacy of pimavanserin studied in treatment for Alzheimer psychosis.

After a 2-year blinded extension of the RADIANCE trial, ozanimod revealed sustained efficacy in both patients who continued treatment and those who switched from placebo.

In patients with minor ischemic stroke or TIA, the 90-day risk of major ischemic events can be lowered with combination clopidogrel and aspirin compared to only aspirin but slightly raises the risk of major hemorrhage.

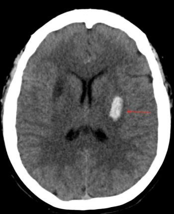
A 39-year-old male with a past medical history of hypertension and depression woke up with a severe headache, difficulty speaking, and right-sided weakness. Read the case details here.

This technology offers a non-invasive, image-guided and reversible approach to blood-brain barrier, suggesting the possibility of its use in Alzheimer disease.

The once-daily 15-mg dose resulted in a significant 12-week improvement for patients with the rare condition.

The subcutaneous infusion resulted in 1.89 fewer hours per day spent in “off” periods compared to placebo.

The senior lecturer in Clinical Pharmacy at Aston University spoke about the findings of the ZED study, which looked into the use of hypnotic z-drugs.

ANAVEX 2-73 is being studied as the first potential precision medicine biomarker-guided, targeted therapeutic in Alzheimer disease.

Nine of 10 patients with chronic inflammatory demyelinating polyneuropathy may benefit from a regimen of pulsed corticosteroids followed by intravenous immunoglobulin.

IONIS-HTT Rx is the first and only drug to demonstrate reduction of mutant huntingtin protein in patients.

The professor of neurology provided insight into the field of deep brain stimulation and how Abbott's recent FDA approval is a solid step forward.

A 36-year-old male presents with new-onset tremors of the hands. He is a project manager at a small company, and he is increasingly self-conscious about his condition that is getting worse at his high-stress job.

The director of the University of Rochester Alzheimer's Disease Care, Research and Education Program spoke about the need to rethink trial design and Alzheimer neuropsychiatric symptom management.

BAN2401 produced a dose-dependent substantial reduction in brain amyloid plaque at the highest dose, resulting in subjects converting to amyloid negative.

Abbott’s Infinity Deep Brain Stimulator now allows for performance of MRI on patients with Parkinson or essential tremor with the system implanted.

The vice president of US Medical Affairs in Neurology & Immunology at EMD Serono discussed the potential for the oral multiple sclerosis therapy.

African-American patients with MS on fingolimod were 50.2% more likely to remain true to their treatment regimen than those treated with injectable disease-modifying therapies.

The EMD Serono therapy’s resubmission was accepted after a 2011 CRL, with the new NDA supported by the findings of a 5-study clinical development program.

A third-party manufacturing issue has delayed a phase I/IIa study for Sarepta Therapeutics.

This is the first large late-stage clinical trial to further support the amyloid hypothesis.

The SPRINT MIND trial found a statistically significant lower rate of new cases of mild cognitive impairment in the intensive treatment group.

The psychiatry and pharmacology professor spoke about the results from the first clinical trial that showed that a cannabinoid can decrease agitation in Alzheimer disease.

Efficacy was demonstrated in this patient population at the primary endpoint of 6 weeks, especially in those with more severe baseline NPI-NH-PS.

The recommendations will provide an important tool to help improve the quality of the diagnostic process, so patients receive an early and accurate diagnosis.

Data from an interim analysis of the lumateperone large phase III clinical trial for agitation in subjects with dementia is expected by the end of 2018.

These guidelines will provide primary clinicians and the specialist community an important new tool to more accurately diagnose patients.